تعرفي علي أهم الوصفات سحرية لعلاج تورم اللثة
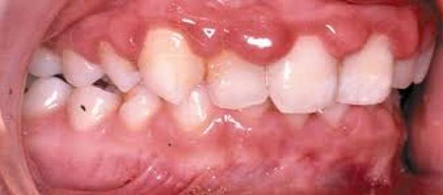
نعلم بأن اللثة لها مشاكل كثيرة ومنها مشكلة تورم اللثة التي تعد من المشاكل الشائعة بين الناس بمختلف أعمارهم، فاللثة دائماً ما تكون ذات لون وردي و قوام سميك ليفي غني بالأوعية الدموية ، وعندما يصاحب اللثة تورم فأنها تبدو باللون الأحمر وقد تبرز للخارج في معظم الأحيان، كما أن يمكن أن تنزف الدم بسرعة في حال ملامسة فرشاة الأسنان لها وكل هذه المشاكل قد يكون لها عدة مسببات ومنها: سوء التغذية ، العدوى، التهاب اللثة، المبالغة بالتدخين، تناول التبغ أو الحمل.هناك أسباب أخرى لتورم اللثة كالحساسية من غسول الفم ومعجون الاسنان، كما ان سوء نوع أطقم الأسنان وأجهزة التنظيف لدى الطبيب قد تسبب تورم اللثة أيضاً، ناهيك عن الاستخدام الغير صحيح لفرشاة الأسنان.حتى تعمل على تهدئة ألم اللثة يمكنك استخدام العلاجات المنزلية المتوفرة لديك كما يجب عليك أن لا تغفل عن الحفاظ على نظافة فمك الشخصية.علاجات منزلية سهلة وفعالة للتخلص من تورم اللثة:الكمادات الباردة والدافئة:الكمادات الباردة والدافئة لها القدرة على إزالة تورم اللثة كما أنها تساعد على تقليل الألم المصاحب للتورم. كل ما عليك فعله هو وضع الكمادات على وجهك وليس على اللثة المتورمة مباشرة، اتبع هذه التعليمات ليصبح الأمر واضح بالنسبة إليك:بلل قطعة من القماش داخل وعاء مملوء بالماء الدافئ ، وقم بعصرها حتى تتخلص من الماء الزائد فيها.ضع قطعة القماش على وجهك لمدة لا تقل عن 5 دقائق.استخدم كيس البازيلاء المجمد لعلاج تورم اللثة، وذلك عن طريق لف الكيس المجمد بالبازيلاء داخل منشفة رقيقة السمك.كرر هذه العملية مرتان أو 3 مرات في اليوم، أو عند الحاجة إليها.الكركم:الكركم يحتوي على مادة (الكركمين) التي تعتبر من المضادات الجيدة للأكسدة والالتهابات وبالتالي فهي تمنع انتشار البكتيريا داخل الفم وبهذا تحد من مشاكل الفم الكثيرة.كل ما عليك فعله هو اخذ ملعقة صغيرة من الكركم وخلطها مع القليل من الماء حتى يتكون لديك معجون، ومن ثم ضع معجون الكركم على اللثة لمدة خمس دقائق، بعدها قم بالتدليك البسيط على اللثة واشطفها بالماء الدافئ فيما بعد.أكياس الشاي الأسود:تعد مادة (العفص) من مضادات الأكسدة ، وهي توجد بشكل أساسي في أكياس الشاي الأسود، فهي تعمل على التخلص من التهاب اللثة وتعزز من الصحة العامة في الفم.لاستخدام طريقة أكياس الشاي الأسود ، قم بغلي أكياس الشاي في الماء لمدة تتراوح ما بين 2-3 دقائق، من ثم قم بإخراجها من الماء واتركها تدفي قليلاً، بعدها ضع أكياس الشاي على اللثة المتورمة لمدة تتراوح ما بين 10-15 دقيقة وفي النهاية قم بشطف الفم بالماء الدافئ والملح، كرر هذه العملية يومياً إلى أن تشعر بالراحة وتتحقق النتيجة المطلوبة.المياه المالحة:عليك بأن تعلم أن الملح يعتبر من العلاجات الفعالة التي تساعد على التخلص من تورم اللثة، حيث أن الملح يحد من انتشار البكتيريا في الفم، لهذا بعد تنظيف اسنانك جيداً قم بدعك اللثة بالملح وذلك بطريقة خفيفة ، ثم اشطفها بالماء الدافئ. هذه الطريقة تستخدم 3 مرات في الأسبوع.هلام الصبار:يعتبر هلام الصبار من العلاجات المفيدة لتورم اللثة لما يحوي من خصائص مضادة للالتهابات والجراثيم وبالتالي يمنع نمو وانتشار البكتيريا في الفم، ولاستخدام هذا العلاج اتبع الخطوات التالية:قم بقطع نبات الصبار حتى يخرج منه الهلام.ضع الهلام على اللثة ومن ثمة قم بفركها بلطف لمدة تتراوح ما بين 1-2 دقيقة.اشطف فمك بالماء الدافئ.كرر هذه العملية كل يوم حتى تشعر بالتحسن.قم بالزيارة الدورية لطبيب الأسنان، على الأقل كل 6 أشهر حتى تتأكد بأن اسنانك صحية وسليمة ولا توجد مشاكل في اللثة.الابتعاد عن تنظيف الاسنان بالفرشاة الخشنة حتى لا تهيج اللثة، ويفضل استخدام الفرشاة ذات الملمس الناعم.فرش الاسنان بانتظام وخصوصا بعد الوجبات الأساسية.منتجات التبغ والكحول تعمل على زيادة تورم اللثة، لهذا تجنبها.تبديل فرشاة الأسنان كل 3 اشهر.الابتعاد عن تناول الأطعمة الساخنة جداً والمشروبات الباردة جداً.شرب كميات وافرة من الماء يومياً حتى يكون من السهل انتاج اللعاب في الفم ، الذي يساعد على ترطيب اللثة وطرد البكتيريا طبيعياً.تجنب التوتر الزائد.


