تعرف على تأثير المشروبات الغازية على الأسنان و اللثة
المشروبات الغازية هي مشروبات صناعية ، يتم إضافة إليها بعض النكهات التي تكسبها الطعم الذي يتم تذوقها عند تناولها، كما يتم إضافة إليها الغازات والمواد الحافظة ، وتختلف أنواع المشروبات الغازية حسب النكهات والألوان المضافة إليها .
تحتوي المشروبات الغازية على كميات كبيرة من السكر ، حيث يوجد في العلبة الواحدة حوالي عشرة ملاعق من السكر ، ما يسبب تدمير فيتامين ب والتسبب في الإصابة بعسر الهضم والاضطرابات العصبية والكآبة والأرق وضعف البنية والتشنجات العصبية .
المشروبات الغازية مجرد سوائل تحتوي على كمية كبيرة من السكر وكمية قليلة جدا من الأملاح، ومشروبات الدايت تحتوي على الأسبارتام وهو بديل السكر وهو مركب من حمضين حمض الفينول وحمض الأسبارتيك ويقوم هذان الحمضان بتوليد الطعم الحلو للمشروبات، ولا يجب للأشخاص الذين يعانون من زيادة في حمض الاسبارتيك ، حيث لا تحتوي المشروبات الغازية على أي قيمة غذائية مفيدة للجسم ، حيث أنها لا تحتوي عل. أية بروتينات أو دهون صحية او فيتامينات او معادن .
أثر المشروبات الغازية على الأسنان واللثة :
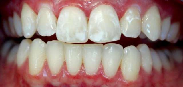
1- تؤدي المشروبات الغازية إلى تآكل طبقة المينا الخارجية للأسنان لأنها تحتوي على أحماض الفوسفوريك والماليك والكربوني ، وطبقة المينا هي التي تعمل على حماية السن من التآكل.
2- تسبب حساسية الأسنان التي تنتج عن انزلاق السن عن اللثة .
3- المشروبات الغازية نضعف السن وتسبب تقلقله وسقوطه في بعض الأحيان .
4- تزداد خطورة المشروبات الغازية على أسنان الأطفال ،حيث أنها تؤدي إلى تآكل مينا الأسنان منذ عمر ١٢ سنة بنسبة ٣٠٪ .
5- تزاد نسبة تآكل مينا الأسنان عند الأطفال الذين تتجاوز أعمارهم ١٢ عام.
6- وقد أفادت الدراسات أن تناول ثلاث عبوات من المشروبات الغازية قد يسبب اصابة الأسنان وخسارتها بنسبة ٢٥٠٪
7- تعتبر المشروبات الغازية من أكثر العوامل التي تؤدي إلى تآكل طبقة المينا عند المراهقين ، وقد تتسبب في انكشاف جذور السن
8- وقد اعترف أحد المتحدثين باسم شركات صناعة المشروبات الغازية أن شركات تصنيع هذه المشروبات يعلمون جيدا خطورتها على الأسنان ، كما أنهم يوصون المستهلكين بتفريش أسنانهم مرتين يوميا باستخدام معجون الاسنان ، وعدم تناول المشروبات قبل النوم مباشرة .
الاضرار العامة للمشروبات الغازية :
1- لا تحتوي على أي قيمة غذائية صحية للجسم، كما أنها تسبب تفاعلات وآثار سيئة مع الأغذية الأخرى وتؤدي إلى ضياع القيمة الغذائية الصحية للأطعمة التي يتم تناولها معها .
2- تسبب ارتفاع سكر الدم بطريقة سريعة ، ما يجعلها خطر على مرضى السكري .
3- تحتوي على سعرات حرارية عالية ما يسبب زيادة الوزن
4- تسبب نقص الكالسيوم في الدم والعظام ، ما يردي إلى الإصابة بهشاشة العظام نتيجة امتصاص الكالسيوم من العظام .
5- تحتوي على كمية كبيرة من الكافيين الذي يؤدي إلى منع امتصاص الحديد من الجسم ، والإصابة بأمراض فقر الدم (الأنيميا ) .
6- تؤدي إلى قلة النشاط والضعف العام ونقص الشهية عند الاكل خصوصا عند الأطفال والمراهقين .
7- تحتوي على غاز ثاني أكيد الكربون ، ما يسبب حرمان المعدة من الخمائر اللعابية ، التي تساعد على الهضم وتتسبب في عسر الهضم واضطرابات في الانزيمات الهضمية في المعدة .
8- تؤدي إلى تآكل العظام وخروج بقاياها عن طريق البول.














